インプラント
- HOME
- インプラント
インプラント
インプラントとは
インプラントとは、歯を失った顎骨(あごの骨)の中に人工の歯根(チタン製が主流)を埋め込み、その上に人工歯を取り付ける治療法です。まるで新しい歯が生えてきたかのように、自分の歯と同じように使うことができます。また、隣にある天然歯と見分けがつかない自然な美しさを回復することも可能です。インプラントは歯が無い状態からしっかり噛める喜び、自然な美しさを取り戻すことができる信頼性の高い治療法です。
院長は、公益社団法人
日本口腔インプラント学会認定の専修医です。
学会指定研修施設で所定の課程を修めて試験に合格し、インプラントの知識と技術を有していると認定されております。インプラント手術の経験年数は20年以上になります。
また、歯学部卒業後、神戸大学医学部口腔外科に入局し、5年にわたり口腔外科の専門的トレーニングを積んでおりますので、局所のみならず全身の状況を把握したうえで、安全に処置をさせていただくことができます。
インプラントにご興味がおありの方は、当院にご相談ください。
当院が実施する最先端インプラント治療のご案内
CT撮影の重要性
インプラント治療では、あごの骨がどういう形態になっているかを立体的に診ることが欠かせません。従来のレントゲンでは2次元の平面画像しか得られなかったため歯や骨の奥行の情報がわかりませんでしたが、CTを用いると3次元の立体画像が得られ、歯やあごの骨の詳細な立体構造や神経の位置などを精度高く把握することができます。そのため当院では手術前にCT撮影をお願いしております。
院内にも歯科用CTを完備しておりますが、インプラント手術の際には北野病院の協力を得て医科用CTで撮影しております。インプラント術前検査に際しての医科用CTの優位性については、次項で述べます。
インプラント治療支援システム「Landmark System™」の活用
さらに当院ではインプラント手術支援システムの日本トップシェアであるアイキャット社のLandmarkSystem™を採用しております。撮影したCTデータをコンピューターで解析することにより、一歩進んだ安全・確実な手術を実現しています。
※Landmark System™とは?
大阪大学歯学部での研究成果を元に設立された株式会社アイキャット
(iCAT)が開発した、診断から手術までをトータルにサポートする、最先端のインプラント治療支援システムです。
インプラント治療の流れ
Step.1 CT撮影
従来のレントゲン撮影では正確に把握することが難しかった、あごの骨の詳細な立体構造や神経の位置などを精度高く把握するために、CT撮影を行います。撮影は数秒間で痛みもありません。
あごのCT撮影は被ばくを伴いますが、自然界で1年間に受ける被ばく量よりも小さく、確実で安全な治療のために非常に有効です。
Step.2 診断・治療計画
撮影したCTデータを専用のインプラントシミュレーションソフトに取り込み、患者さまごとに違うあごの骨の硬さや形、神経の位置などを詳細に確認しながら、インプラントの最適な埋入位置を診断します。
医科用CTを利用することで、あごの骨密度も診断でき、骨粗鬆症などの問題を事前に把握することができます。
診断後には
シュミレーションデータを用いて分かりやすく全体的なインプラントの治療計画をご説明しますので、十分にご納得いただいた上で治療を進めていくことが可能です。
Step.3 手術~人工歯装着
診断した結果を元に手術を行います。
ソフト上で診断した位置にインプラントを精度高く埋入できるようサポートする手術支援器具『ステント』を作製します。これはドリルをシュミレーション通りの正しい方向へ導く手術支援器具で、より安全・確実な手術を実現するとともに手術時間を短縮し、患者さまの負担も軽減します。
Step.1~3によって、リスクを軽減した上で最適な位置にインプラントを埋入でき、天然歯の代わりや義歯の土台として、インプラントが持つ機能を最大限引き出すことが可能になります。
手術の手順
手順1
歯ぐきを開き、顎の骨にインプラントと同じサイズの穴を形成します。(ステントを使用)
手順2
骨の中にインプラントを埋め込み、しっかりと固定してから歯ぐきを閉じます。
約1週間後に抜糸します。
手順3
インプラントと骨がしっかり結合するのを待ちます。(骨がたくさんある場合で3~6ヵ月)
手順4
インプラントの上部を出して歯ぐきの形を整える器具を結合し、治癒を待ちます。
手順5
口の中の型をとって仮歯を作製します。装着後、噛み合わせを調整し、食事や発音、審美などの機能に問題が無いか、しばらく経過をみます。その後も必要があれば調整を続け、問題がなければ最終的な人工歯の作製に移ります。
手順6
セラミックなどで人工歯を作製し、インプラントと連結します。
できるだけ長持ちさせるために定期的にメンテナンスをお受けいただきます。

インプラント治療の利点(従来の治療法との比較)
中間の歯を1本失った場合
従来の治療法:ブリッジ
- ブリッジで治療する場合には両隣の歯を削らなければなりません。
- 健全歯を削ることで歯の神経を損傷させることがあります。さらにブリッジは清掃性が悪いのでむし歯の発生を誘発しやすくなります。これらのことにより歯の寿命を短くする恐れがあります。
従来の治療法:部分入れ歯(取り外し式)
- 金具(バネ)が必要で見た目の悪さにつながります。また、バネをかけた両隣の歯に噛む力が過剰に加わることで歯が揺らされ、歯周病を誘発しやすくなります。さらに、バネをかけるためには歯を削らなければなりません。
- 取り外し式で手入れが繁雑、異物感があり、はずれやすい。
- 義歯が口内の粘膜を広く覆うため、味覚や飲食物の温度の感触が鈍くなったり、食物が挟まったりしやすく、快適な食生活を楽しめないことがあります。
インプラント治療にあたっての注意点
-
むし歯・歯周病を放置したまま、インプラント治療だけをすることはできません。
それらの問題がある場合、天然歯の治療を優先的に行ったのち、インプラント治療に移行します。 - インプラントを支える骨量が少ない場合は、事前に造骨手術が必要な場合があります。
- 糖尿病などの基礎疾患をお持ちの方は、お申し出ください。主治医と連携して治療にあたります。
- タバコはインプラントの失敗率を高めます。
- 術後は定期的にメンテナンスをお受けいただくことが必須です。
- 『よくあるご質問』のページもご覧ください。
当院ではインプラントの適用にあたって、
以下のことを大切にしています。
- ①局所・全身の健康状態に問題はないか、事前に確認する。
- ②事前にむし歯や歯周病をはじめとしたお口全体の問題を解消しておく。
- ③インプラント以外の治療方法も提示・検討し、総合的に判断する。
インプラントだけをお勧めすることはありません。 - ④治療終了後は定期的なメンテナンスが必須であることを事前にご理解いただく。
以上のことを踏まえ、状況によりましてはインプラント治療を希望されてもご希望に沿えないことや、他の治療法をご提案させていただくこともございます。
実際のインプラント症例
インプラントの適用となるのはむし歯や歯周病で抜歯を余儀なくされたケースが多いですが、外傷(ケガ)が原因で抜歯に至った場合や、歯の先天的欠如(生まれつき歯の本数が少ないこと)などにも効果を発揮します。
実際に当院で行ったインプラント治療の中から、代表的な状況別に症例を供覧いたします。
※尚、すべての症例写真の掲載にあたっては、患者様の許可をいただいております。
①歯が先天的に欠如していたケース
【42歳 女性】
左右の下顎第二小臼歯が先天的に欠如しているため、左右ともに乳歯(第二乳臼歯)が残存して機能していましたが、左側の乳歯が抜けてしまいました。
固定式の義歯を入れたいが、歯はできるだけ削りたくないとのことでインプラントを希望されました。
インプラントを適用することにより、手前の歯を削ることなく、固定式の義歯を入れることができました。
定期的にメンテナンスを行うことにより、歯もインプラントも長期にわたり良好に維持されています。
【インプラント手術前】
【上部構造体装着直後】
【上部構造体装着後 9年】
②外傷(ケガ)で抜歯に至ったケース
【24歳 男性】
転倒して上顎前歯部を強打し、左右の上顎中切歯が折れてしまった状態で来院されました。
左側中切歯は温存できましたが、右側中切歯は状態が悪く、抜歯となりました。
ブリッジも検討しましたが、右隣の歯を削らなければならないことを嫌い、インプラントを希望されました。
定期的にメンテナンスを行うことにより、歯もインプラントも長期にわたり良好に維持されています。
【初診時】
【上部構造体装着直後】
【上部構造体装着後 12年】
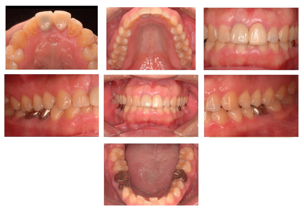
③むし歯が原因で抜歯に至ったケース
【51歳 男性】
右の下顎第二大臼歯に対してむし歯治療が施されていましたが、歯根がひび割れて吸収され、咀嚼時に痛みを感じるようになったため抜歯となりました。
最後方に位置する歯が抜歯となったため通常のブリッジは適用できず、治療の選択肢が少ないケースでしたが、インプラントを適用することにより固定式の義歯を入れることができました。
定期的にメンテナンスを行うことにより、歯もインプラントも長期にわたり良好に維持されています。
【治療前】
【インプラント施術直後】
【上部構造体装着後 15年】
④重度の歯周病で多数の抜歯に至ったケース
【60歳 男性】
重度の歯周病のため多数の歯が抜歯となりました。
入れ歯は入れたくないという患者の要望にお応えすべく、残った歯に対する歯周病治療
+ 左右の上顎臼歯部に対する増骨手術 +
インプラント治療を実施しました。
治療の結果、入れ歯の装着は免れましたが、このような複雑なケースでは歯とインプラントの維持のために定期的なメンテナンスを行うことがより一層重要となります。
このケースでは、歯科治療終了後に内科的疾患のため唾液の分泌量が減少したことにより、むし歯が発生しやすい状況となり、改めてメンテナンスの重要性が痛感されました。
06-6363-3892
